13 年
手机商铺

PathScan(R) RTK Signaling Antibody Array Kit (Chemiluminescent Readout)
品牌:Cell Signaling Technology
¥7893
咨询公司新闻/正文
1994 人阅读发布时间:2020-06-13 14:06

CST TECH TIPS 系列课程,欢迎关注「CST博士互助平台」
免疫组织化学(IHC)是检测生物标记物表达的最简单方法之一,它可以原位检测组织或细胞的标记物。但在操作过程中,问题总层出不穷。当你的IHC结果没有信号或信号较差时,就要逐步分析原因。除了抗体特异性和性能、配套试剂和各操作细节对于IHC染色结果非常重要外。设置对照,也至关重要!否则,你不能确信检测出的是否是预定靶标,结果经不起任何质疑。
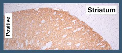
单种检测法不足以证实抗体的特异性和敏感性。进行包括不同对照的多项实验会让您对您的IHC结果更有信心。我们已经介绍了IHC的一种细胞沉淀物对照,点我看详情。本视频,我们将着重于阳性和阴性组织对照、同型对照以及磷酸化特异性和修饰特异性抗体对照。
如果已知目的蛋白在一种组织类型中大量表达,但在其他组织中不表达,你可以将这些阳性和阴性组织的染色与您的实验样品进行比较。您应该对对照和实验样品使用相同的实验步骤和试剂,例如抗原修复缓冲液和抗体稀释剂。如果阳性和阴性对照都没有得出期待的结果,您应该对您的实验步骤和抗体工作浓度进行疑难排解,然后再处理您的实验样本。必须确认您没有使用过高浓度的抗体,因为这会造成非特异性结合,导致靶蛋白脱靶。
Adora2a (E518X) XP®️ #94871
阴性对照:

某些情况下,可能会有同时存在阳性和阴性细胞类型的组织。例如,心脏组织中,平滑肌肌动蛋白存在于组成血管壁的平滑肌细胞中,却在周围的心肌中不表达。这种组织中,就同时存在阳性和阴性对照。

如果没有绝对阳性和阴性的组织,您可以使用差异蛋白表达,也就是说使用蛋白水平相对较高或较低的组织来测量抗体染色的特异性。
为检测这些组织,您可以查阅各种数据库或文献里原位杂交数据中关于组织的mRNA表达谱。需要注意的是,蛋白和RNA表达之间的相关性根据靶标有所不同。
同型对照
同型对照是一种阴性对照。您选择的同型对照以及使用的浓度应与您的实验抗体相同。如果您观察到某种同型对照染色,这表示一抗至少一部分信号是非特异性的。这可能是由Fc受体介导的相互作用(有时也称为反向结合),或孵育条件的一般粘性所导致。如果进行生物素检测,组织中的内源性生物素也是一个因素。

磷酸化特异性抗体
磷酸化特异性抗体仅在从事与磷酸化蛋白相关检测时会用到。除之前提到的对照,您还可以使用磷酸酶处理组织样本,以去除磷酸基,并检测您抗体的磷酸化特异性。预计在磷酸酶处理的组织中,染色会完全消失。

Blocking peptides

再强调一次,单次检测不能确认特异性,但收集合适对照的多个数据点可以知道您的抗体的特异性和敏感性,并且可以让您对您的染色结果更有信心。
您可以在cellsignal.cn的产品页面上找到各抗体的特定应用的完整实验步骤。如果您对某种抗体或实验步骤有任何疑问,请联系我们全国免费技术热线4006-473287(GreatQ),或邮箱tech@cst-c.com.cn。祝您实验成功!
| 货号 | 产品名称 | 应用 |
| 一抗:IHC-与Leica®️Bond™️ 兼容 | ||
| CST 提供多种用于Leica®️Bond™️的IHC一抗。访问 https://www.cst-c.com.cn/browse/ihc-leica-bond/primary-antibodies?N=4294955687+102236+4294956287,以获得完整的 产品列表。 |
||
| 一抗:经IHC-石蜡切片验证 | ||
| CST 提供多种用于石蜡IHC的一抗。访问 https://www.cst-c.com.cn/browse/ihc-paraffin/primary-antibodies?N=4294960088+102236+4294956287,以获得完整的产品列表。 | ||
| 一抗:经IHC-冰冻切片验证 | ||
| CST 提供多种用于冰冻IHC的一抗。访问 https://www.cst-c.com.cn/browse/immunohistochemistry-frozen/primary-antibodies?N=4294960086+102236+4294956287,以获得完整的产品列表。 | ||
| 多重免疫组织化学/mIHC 抗体组合 | ||
| CST 目前提供2种高品质用于多重免疫组化(mIHC)的抗体组合。访问 https://www.cst-c.com.cn/browse/multiplex-ihc/primary-antibodies?N=4294955999+102236+4294956287,以获得完整的产品详情。 | ||
| 缓冲液和封闭试剂 | ||
| 货号 | 产品名称 | 应用 |
| 9997 | Tris Buffered Saline with Tween® 20 (TBST–10X) | |
| 12498 | Tris Buffered Saline (TBS–10X) | |
| 9809 | Phosphate Buffered Saline with Tween® 20 (PBST–20X) | |
| 9808 | Phosphate Buffered Saline (PBS–20X) | |
| 15019 | Animal-Free Blocking Solution (5X) | WB IHC |
| 抗原修复 | ||
| 14746 | SignalStain® Citrate Unmasking Solution (10X) | IHC |
| 14747 | SignalStain® EDTA Unmasking Solution (10X) | IHC |
| 一抗稀释液 | ||
| 8112 | SignalStain® Antibody Diluent | IHC |
| 封片剂 | ||
| 14177 | SignalStain® Mounting Medium | IHC |
| 封闭肽 | ||
| CST 提供多种用于靶点特异性分析的封闭肽。访问 http://www.cst-c.com.cn/tools/Blocking_Peptides.html,以获得完整的产品列表。 | ||
| 检测二抗和复染剂 | ||
| 货号 | 产品名称 | 应用 |
| 8114 | SignalStain® Boost IHC Detection Reagent (HRP, Rabbit) | IHC |
| 8125 | SignalStain® Boost IHC Detection Reagent (HRP, Mouse) | IHC |
| 31926 | SignalStain® Boost IHC Detection Reagent (AP, Mouse) | IHC |
| 18653 | SignalStain® Boost IHC Detection Reagent (AP, Rabbit) | IHC |
| 12692 | SignalStain® Apoptosis (Cleaved Caspase–3) IHC Detection Kit | IHC |
| 14166 | Hematoxylin | IHC |
| IHC对照 | ||
| 货号 | 产品名称 | 应用 |
| 3900 | Rabbit (DA1E) mAb IgG XP® Isotype Control | IP IHC IF F ChIP |
| 5415 | Mouse (G3A1) mAb IgG1 Isotype Control | IP IHC IF F ChIP |
| 61656 | Mouse (E5Y6Q) mAb IgG2a Isotype Control | IP IHC IF F ChIP |
| 5415 | Mouse (G3A1) mAb IgG1 Isotype Control | IP IHC IF F ChIP |
| 53484 | Mouse (E7Q5L) mAb IgG2b Isotype Control | IP IHC IF F ChIP |
| 37988 | Mouse (E1D5H) mAb IgG3 Isotype Control | IP IHC IF F ChIP |
| 8101 | SignalSlide® Phospho–Akt (Ser473) IHC Controls | IHC |
| 8102 | SignalSlide® Phospho–EGF Receptor IHC Controls | IHC |
| 8103 | SignalSlide® Phospho–p44/42 MAPK (Thr202/Tyr204) IHC Controls | IHC |
| 8104 | SignalSlide® Cleaved Caspase–3 (Asp175) IHC Controls | IHC |
| 8106 | SignalSlide® PTEN IHC Controls | IHC |
| 8117 | SignalSlide® Phospho–ErbB Family IHC Controls | IHC |
| 8118 | SignalSlide® Phospho–Met (Tyr1234/1235) IHC Controls | IHC |
| 12873 | SignalSlide® NF–κB p65 IHC Controls | IHC |
| 13752 | SignalSlide® LKB1 IHC Controls | IHC |
| 13747 | SignalSlide® PD-L1 IHC Controls | IHC |
| 41965 | SignalSlide® Mouse PD-L1 IHC Controls | IHC |
| 55861 | SignalSlide® HeLa -/+ IFNa IHC Controls | IHC |
| IHC应用试剂盒、IHC小包装抗体套装和底物试剂盒 | ||
| 货号 | 产品名称 | 应用 |
| 13079 | Immunohistochemistry Application Solutions Kit (Rabbit) | IHC |
| 8107 | SignalStain® Akt Pathway IHC Sampler Kit | IHC |
| 8109 | SignalStain® Proliferation/Apoptosis IHC Sampler Kit | IHC |
| 8111 | SignalStain® Phospho–ErbB Family IHC Sampler Kit | IHC |
| 86791 | Suppressive Myeloid Cell Phenotyping IHC Antibody Sampler Kit | / |
| 62714 | Human Immune Cell Phenotyping IHC Antibody Sampler Kit | / |
| 37495 | Mouse Immune Cell Phenotyping IHC Antibody Sampler Kit | / |
| 44689 | Human T Cell Co-inhibitory and Co-stimulatory Receptor IHC Antibody Sampler Kit | / |
| 42344 | Receptor Tyrosine Kinase Antibody Sampler Kit | / |
| 8059 | SignalStain® DAB Substrate Kit | IHC |
| 96632 | SignalStain® Vivid Purple Peroxidase Substrate Kit | IHC |
| 76713 | SignalStain® Vibrant Red Alkaline Phosphatase Substrate Kit | IHC |
猜 你 喜 欢
CST博士互助平台

扫码关注CST博士互助平台,获得更多信号通路、实验技巧、科学前沿、商家活动等一手资讯。